If you’re a pet owner, you know how important keeping your furry companion happy and healthy is. But when your dog shows signs of discomfort or illness, it can be difficult to determine the cause. Diagnostic imaging is a powerful tool veterinarians use to diagnose and treat various diseases in dogs. Diagnostic imaging provides valuable information about your pet’s health that vets can’t obtain through physical examination alone. At Kindred Animal Hospital, we use the latest technology to provide your pet with the highest level of care. In this article, we’ll explain how diagnostic imaging is used to diagnose your dog, what a veterinary radiologist does, the different types of diagnostic imaging available, and how to ensure that your pet is safe during the process.

How is Diagnostic Imaging Used in Diagnosing My Dog?
Diagnostic imaging is used to create images of the body's internal structures so that veterinarians can diagnose and treat health issues in your pet. It is a non-invasive and economical way for your veterinarian to examine your dog’s internal structures without surgery. By creating detailed images, diagnostic imaging can detect abnormalities or diseases that may not be apparent during a physical examination. Common diagnostic imaging techniques used in veterinary medicine include radiography (X-ray imaging), ultrasonography, computed tomography (CT), magnetic resonance imaging (MRI), and nuclear medicine imaging.
What Does a Veterinary Radiologist Do?
A veterinary radiologist is a specialized veterinarian who interprets and evaluates diagnostic imaging. They are experts in interpreting medical images and use these images to diagnose diseases and abnormalities in animals. Veterinary radiologists use their expertise to help veterinarians determine the best course of treatment for their patients.
.jpg)
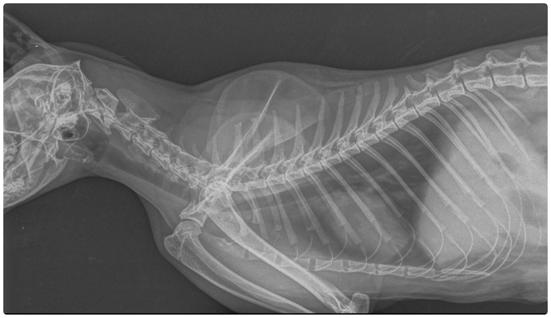
What Are the Different Types of Diagnostic Imaging?
Radiography (X-ray imaging) is the most common diagnostic imaging procedure used in veterinary practices. It produces black, white, and gray images (radiographs) of bones, foreign objects, and large body cavities. Radiography is particularly useful for detecting fractures, tumors, injuries, infections, and deformities. In some cases, specialized X-ray techniques called contrast procedures are used to provide more detailed images of body organs.
Ultrasonography, or ultrasound, is a diagnostic imaging technique that uses high-frequency sound waves to create real-time images of internal body structures. It is popular because it does not use ionizing radiation (X-rays) and can help evaluate pregnant animals and diagnose various diseases affecting the heart, liver, lungs, kidneys, bladder, and more.
MRI and CT scans are more advanced diagnostic imaging techniques that provide detailed information about a cat’s internal organs, bones, and tissues. They’re particularly helpful for diagnosing brain tumors, herniated spinal discs, and other complex conditions that may not be visible through X-rays or ultrasound. However, MRI and CT scans are more expensive and require referral to a specialized facility or teaching hospital and also require anesthesia.
What Are Some of the Things that the Veterinarian Will Look for With Diagnostic Imaging?
Veterinarians use diagnostic imaging to identify and diagnose diseases, fractures, tumors, foreign objects, and other abnormalities. They look for changes in the size or shape of organs or bones as well as signs of inflammation or infection. Diagnostic imaging is also used to evaluate the heart, lungs, and other internal organs.
.jpg)
Does My Dog Need to be Sedated for Diagnostic Imaging?
Sedation for diagnostic imaging in dogs depends on the specific procedure and the individual dog. Sometimes, sedation may be necessary to ensure the dog remains still during the procedure, allowing for clear, high-quality images. This is particularly true for X-rays, as sedation can help calm dogs, reduce anxiety, and prevent movement that could blur the images. However, sedation is not always necessary, and in some cases, it may not be recommended. The primary disadvantage of sedation is the potential for side effects, including lowering blood pressure, which can cause grogginess and coldness.
Is Diagnostic Imaging Safe for My Dog?
Overall, diagnostic imaging is generally safe for dogs and other pets. Although radiation from X-rays can increase the risk of side effects like cancer, most veterinary practices use digital X-ray machines, which emit less radiation than traditional X-rays. Ultrasound and MRI scans are non-invasive and do not use radiation to create images. It is important to note that although diagnostic imaging is generally safe for dogs, it should only be performed when necessary to minimize unnecessary radiation exposure.
Conclusion
Diagnostic imaging is an essential tool veterinarians use to diagnose and treat dog injuries and diseases in dogs. By creating detailed images, diagnostic imaging works to detect abnormalities or diseases that may not be visible through physical examination alone. At Kindred Animal Hospital, we use the latest technology and provide your pet with the highest quality of care. We understand that your furry friend’s health and safety are of utmost importance to you, so our team always takes extra care to ensure they remain comfortable and secure during the procedure. If you have any questions about diagnostic imaging or would like to schedule an appointment for your pet in Kyle, TX, don’t hesitate to contact us. Call (737) 208-0778 today!